Went in for the 7 week ultrasound today. Scot was in the waiting room with our son and we had the IF (Intended Father) - but I'm just going to say "Father & Mother" from now on - IF & IM sound too impersonal. So, we had the father in the room as well as my life coach from the surrogacy agency - she flew in from LA just for the appointment! It was great to meet her in person.
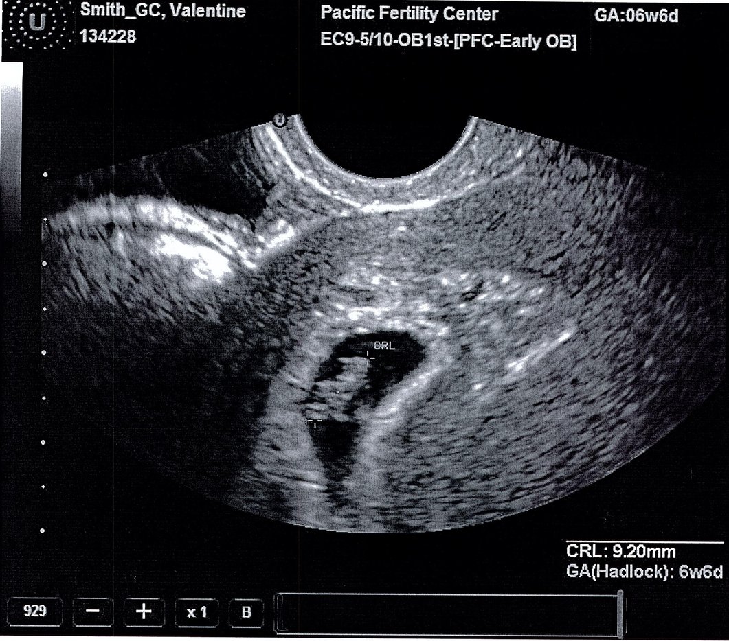
They measured that I was at 6 weeks & 6 days - perfectly normal. We were able to see and hear the tiny heart beat! We even saw the itty bitty head & body forming. I don't think I had ultrasounds this early with my own, so it was amazing to see it in such small form! The clinic gave the father a USB of the images and I asked them to print me a couple as well. :) Here are my souvenirs:
In the above shot, the curser shows the lenth of the body. The baby's head is
at the top curser (below the "CRL").
Here is the heart beat! Hearing this is always so amazing! However, seeing the heart on the
untrasound screen beating was extra special. :)
The father was so super excited! Unfortunately, the mother could not get out of work, but we had her on speaker phone so she could hear the heart beat and ask any questions.
I go back in 2 weeks for a 9 week ultrasound. Once all is good with that one, I will be released from the fertility center to an OB.
Until then!
Valentine


